I can’t keep it in any longer. I have to speak out and plead and demand to all parents and police officers, adults and children to please wear helmets while riding ALL manner of wheeled vehicles! That includes bicycles, skateboards, scooters, roller blades and anything else in between.
Parents, I know it is tough. Heck, a year ago, I was one of those who bought helmets for my kids, but only made them wear them when we all remembered. It wasn’t a priority to me. We grew up and survived just fine without helmets, right? We’re raising kids who are too soft, too sheltered.
I even had a rule that they only had to wear helmets when they were out in the street, but they didn’t have to bother on our driveway, paved pathways, or other trails.
Then the neurosurgeon who saved my son’s life after a fall off a skateboard without a helmet told me, “Driveways and paths are just as hard as roads. As you know, all it takes is a pebble.”
That’s the truth. All it takes is a pebble. A pebble to bring you to your knees in a hospital chapel, BEGGING God to save your son’s life.
Parents, it CAN and DOES happen. Kids fall. And without helmets, they can fall with devastating consequences.
I know it’s frustrating to argue with your kids. I know how it seems impossible to stay on top of them when they roll their eyes and argue over helmets. I have heard the same “too hot,” “It’s messes up my hair,” “I won’t fall,” “I’m not a baby,” and “You’re too overprotective,” comments from my kids, too.
Even after what our family went through just SIX SHORT MONTHS ago, my own 13-year-old emergency craniotomy patient just argued with me over wearing a helmet JUST LAST WEEKEND!
I almost lost my mind at their perceived invincibility. I went into a raving rant of “What will it TAKE for you to get it?” that my three children must think I’ve gone off the deep end.
I had to put in simpler terms.
“If I EVER see you on anything with wheels while not wearing a helmet, your phones, the xbox, all computers, the TV and your freedom will become MINE. Now, are we clear on the rules? Or would you like to argue some more?”
While I think my own kids get how serious I am, I know that not everyone is there. We all pick and choose our battles, and helmet safety is not a battle some are willing to fight. So I invite you to use whatever scare tactics are necessary for yourselves and your kids.
A few months ago, I wrote this very long post as a sort of cathartic exercise for myself. I needed to get out all that had happened and I used the process of writing as my own personal therapy. I never published it publicly until tonight.
I do so now in an effort to share the gravity of everything we all went through after my son fell off a skateboard while not wearing a helmet. This post outlines his skull fracture, his epidural hematoma, the moments when the pressure on his brain caused his body to begin to shut down, and how we overheard the doctors and nurses saying things like “protect the airway” and “life support.”
I share this so you parents can read it and understand that it only takes a pebble to go from normal to terrifying. I share it so you can force your kids to read it, to know that it CAN and DOES happen. I share it in the hopes that all police enforcement, crossing guards, parents, teachers, and citizens everywhere will SAY SOMETHING to the kids they see who are not wearing helmets.
In the past week, I have seen SEVEN children out in our town on bikes, scooters, skateboards and roller blades without helmets. I know there are many, many more. Each time, it makes me cringe.
I apologize in advance to my community, but be aware that I will start speaking up. I will become that crazy lady who yells at children I don’t know to wear helmets. I’ll print out copies of our medical bills and tape them to your front doors if that is what it will take to get you on board.
Please, please, please, I beg of you. MAKE your kids wear helmets. Choose this battle now so you will have the opportunity to pick more battles in the future. Do whatever it takes to ensure that they are wearing helmets each and every time. Deflate their tires and hide the bike pump. Remove their bicycle seats. Take away their phones and devices. Force them to volunteer in a hospital or work as an EMS volunteer.
Whatever it takes, it is worth the arguments now so you can keep your son or daughter whole and healthy and living past their next birthday.
The Day My Son Cracked His Skull
At this very moment, my oldest son is sitting in an exam hall, taking an admissions exam for high school. He is 100% whole and healthy, and for that, we will be eternally grateful.
But that wasn’t the case three months ago.
A little over three months ago, I was doing the frantic mom thing we all do when out-of-town family is coming to stay for a visit. Making sure the house is clean, putting fresh towels out in the upstairs bathroom, prepping appetizers and food that can be out as soon as they arrive, but won’t be cold if there are travel delays. Hounding the kids to make sure their shoes aren’t in the middle of the foyer and their dirty clothes have been picked up off of their floors. Basically, being a shrill nag to everyone in the household and letting the tiny little things that truly don’t matter take over your more rational self who should just be looking forward to the visit.
At one point, I was in my son’s bedroom, at that moment when all of the details of being my household’s sole cooking, cleaning, laundry and organizing service got the best of me.
“This is DISGUSTING!! I don’t know how you live like this! Aren’t you disgusted by living in a sh*thole like this? Well??? Aren’t you???!!!!” I shrieked at my 13-year-old son.
While my family knows me well enough to know that I get stressed before company comes over, this was a new low for me. Cursing and banshee screeching. Not helping, not encouraging, just totally berating. That was me. I hauled a load of dirty laundry I had scraped up off of my son’s floor into a laundry basket and left him to clean up the rest. My younger son was staying out of the way and my daughter was playing at a neighbor’s house. My husband was outside blowing leaves off the patio. No one wanted to be around me.
My oldest son and I were both still steaming mad at each other when he slammed the door a half-hour later to go skateboarding with his friend. I continued to prepare for my in-laws visit, who were expected within the next hour or two to stay for the weekend. I muttered under my breath about having zero help as I cleaned and chopped veggies for a crudite’ platter. Eventually, my blood pressure returned to normal and I regained my sanity enough to realize everything was fine and as prepared as it needed to be.
It was around this moment that I heard a knock on our door. Thinking it might be my in-laws arriving early, I answered with a smile on my face.
It was my neighbor from around the corner.
“Stace — your oldest. Robbie? He’s really hurt. He’s down — in the street across from my house. I don’t know what happened, but I think he’s really hurt.”
I bolted out the front door, barefoot, as my neighbor apologized for still being in her slippers as she was getting ready for a party, too. My mind ping-ponged from thinking, “Oh, he’s probably fine and this will be nothing. Kids fall; it’s fine.” to “Uh, oh, if he’s down, this could be bad. Please don’t let it be bad.” Back and forth. I think I feared a broken bone at the worst, a road-rash scrape-up at best.
I rounded the corner and saw him, sitting up, trying not to cry, but obviously hurt.
“Robbie, are you okay? What happened? What’s hurt?” I blurted out, rapid-fire.
He had scrapes on his forehead, hands and left knee that I could see right away. He was holding his left elbow with his right hand.
“Uhm, I was skateboarding… and hit a rock and… fell, I think… I’m not sure. My arm hurts.” His hands and voice were shaky, but he seemed okay.
“Do you know where you are?” I asked, making sure his head was okay after seeing the scrape on his forehead.
“I fell… on Salem… with Logan, and I fell,” he said, unsure, with effort.

“No, Robbie, you’re on the Fellsway, and you were with Thomas. Do you remember? Do you know where Thomas is?” I asked him as I got up on my knees to check his head more closely.
I was relieved to see that his head wasn’t bleeding. I parted his hair to check for any signs of head injury, not really knowing what I was looking for. All I saw were a few tiny little red dots that I chalked up to road rash.
My son wasn’t wearing his helmet.
He repeated his complaints about his arm really hurting and said he couldn’t move his elbow. By this time, my husband had pulled up in the car in case Robbie wasn’t able to walk home.
A few questions and comments back and forth between my husband and I, and we determined that, between his arm and his confusion over where he was (he is not the type of kid to mistake a street name or the name of a friend), we wanted to take him to the ER. I ran back to grab my sneakers while my husband loaded our son into the backseat so he could lie down, if needed.
I buckled in and pulled out of our neighborhood, headed to the nearest hospital, which thankfully is only 10 minutes away from our house. My husband went back to make sure the oven was turned off, our other kids were situated, and the dog was inside, then he would meet us in the ER later.
When I checked in with the ER nurse, I told her he fell, while not wearing a helmet and we needed him to be seen for a possible broken elbow and possible concussion. Those were two biggest concerns I had for him, based on his complaints. She entered his info into her computer and we sat down to wait.
As we waited, my son started getting more confused and my concern became less about his arm and more about his head. When I asked him where the pain hurt the most, he kept saying his arm, but sentences weren’t clear. I asked him to point where his arm hurt and his hand went to his head.
My husband walked in at that moment and I told him Robbie was getting more and more confused. He went right up to the triage nurse’s station and told him they needed to take a closer look at Robbie immediately.
The wonderful triage nurse asked Robbie only two brief questions, looked in his eyes with her pen light, and instantly got on the phone, ordering an emergency pediatric CT scan for a level two concussion. In a matter of about 30 seconds, our visit went from worried to downright scary.
In that triage nurse at Overlook Hospital, we met the first of many angels we would encounter that day.
We followed Robbie, now on a rolling gurney, up for his CT. They got him immediately in, despite others who were obviously waiting. As we stood outside in the hallway, my husband and I could see into the room outside of the CT unit where the computer monitor was. I was watching my son in the machine when my husband, a former first-responder, glanced at the monitor and said, “It’s not good.”
I looked at him, then to the monitor and my husband pointed out the gray blob on the image of our son’s brain, which shouldn’t be there.
“It’s a bleed,” he said.
Robbie came out of the CT and just wanted to lie down and fall asleep. In a blur that I can’t quite remember, we were walked out of CT and into an emergency treatment room. We met Dr. Chang, the ER doctor on duty, who briefly greeted us and asked a few questions, then got busy snapping orders at surrounding nurses and other personnel.
My first impression of Dr. Chang wasn’t favorable. He was so busy barking commands at people that I wasn’t getting any information. Little did I know that Dr. Chang was the second angel in that hospital who helped to save my son’s life.
All Robbie wanted to do was sleep. He kept saying, “It hurts…my head…hurts,” and kept trying to close his eyes to go to sleep. In an effort to keep him awake, I kept talking to him, asking him questions. The confusion was getting worse.
“Robbie, you need to stay awake, kiddo. Let me see your eyes. What color are your eyes?”
“Orange.”
“No, they’re brown. You have beautiful brown eyes, Robbie, and I need to see them. They were reading this morning, remember? What were you reading?”
“Math.”
“Okay, you were doing math homework. Can you remember what your homework was?”
“Vocabulary.”
“Robbie, you’re going to be okay. Just stay awake, babe, just stay awake. Do you know where you are?”
“Here.”
“Where is here? What town are we in?”
“Charlotte.”
None of his answers made any sense. The pressure of the blood on his brain was affecting his memory and his speech.
By now, our son was hooked up to monitors and had an IV port put in. He kept trying to pull the leads off of his chest so he could curl up to sleep. The heart monitors kept going off. Nurses kept having to come in and hold him down to reattach lines. He pushed away grown men who were trying to help monitor him. He wasn’t speaking anymore, just thrashing and trying to get people to stop poking and prodding him so he could sleep.
Then he lost consciousness.
At some point, we were ushered out of Robbie’s room as machines and more medical professionals were brought in. We tried to watch our son and listen in, my husband on one side of the open door, me on the other, the traffic of people coming in and out in a blur between us. We caught words and phrases like, “heart rate dropping,” “need to protect the airway,” “life support,” and, “intubation.”
I looked across the doorway to my husband, both of us just standing there, helpless. I looked to him and he looked at me, each of us silently beseeching the other for words of hope, support or optimism. Neither of us had anything for the other.
I remember feeling so lost, so hopeless, so bereft of any comprehension as I stood there. I turned my back to the doorway, leaned against the wall, folded my hands, dropped my head, closed my eyes and began to pray.
I prayed, “Dear God, that’s my SON. Please come. Please be here. Please save him. Bless him. Save him. You have to save him. You have to save him.”
My prayers were not eloquent. They were not focused. They were not rooted in scripture. They were desperate. I was desperate.
I don’t know how long I stood there with my eyes closed, but when I opened them, my husband was standing in front of me with a nurse, offering me a folding chair. I started pacing back and forth outside Robbie’s doorway.
In his room, Dr. Chang was calling out to the nurses’ station while on his own phone. They all were searching for a pediatric neurosurgeon for an emergency operation.
My neighbor, another angel in this whole ordeal, was texting me, asking how Robbie was. She is herself a nurse and a nursing professor, working on her PhD. She is also the mom of Robbie’s friend who had been skateboarding with Robbie before the accident.
I texted her, giving her updates when I could get information. She gave me the name of a pediatric neurosurgeon who works in that hospital. I called the nameshe gave me into the nurses’ station, trying to help expedite things, just needing to try to DO something.
A nurse then told us we could go in and sit with Robbie and talk to him, that he could probably still hear us, even though he was unconscious. This angel cleared a way through the dozen or so people in that tiny room, surrounding his bed.
I can’t remember what I said to him in those moments. I only remember holding his hand and looking at him. The intent gaze of a parent, not all that different from the kind of enchanted staring we all do as we watch our sleeping infants, attempting to memorize every facial feature, marveling at this amazing creature. My baby was 13 and his slumber wasn’t natural; his features were masked by breathing tubes and tape, but I held his hand and I stared at him, afraid of what might happen if I looked away, even for a second.
The flurry of activity shifted at some point. Time has a way of simultaneously stretching into seemingly endless intervals while passing by in a dizzying blur. They were moving Robbie again. He was going into emergency surgery.
We had spoken again to Dr. Chang, as well as another nurse, who introduced himself as part of the neurosurgeon’s team. He explained that they were going to take Robbie into an operating room to try to drain excess blood and see the extent of his injuries.
As we were talking to this male surgical nurse, they rolled Robbie past us, out the room and through the double doors down a hallway. Another nurse encouraged us to follow.
“You should be up there with him. To say good-bye.”
I know this was an inadvertent slip of the tongue and that she meant that we should say good-bye before his surgery, but the shock of her words along with the unknown outcome of his surgery rocked me. I wasn’t ready to say good-bye to my son.
Robbie was rolled into surgery and we were led to the OR waiting room. My husband and I both made phone calls to our parents and to the people watching our other kids at home. We didn’t have much to update since we didn’t know the extent of his injuries, even now. All we knew was that our son was on life support and undergoing an emergency craniotomy.
I had wandered into a small room with its own door to make my phone calls. Once I hung up, I fell to my knees in that tiny room and prayed again. I can’t remember what I prayed or how I prayed. I only remember the act. With my elbows on a chair, my folded hands propping up my head, I knelt and I prayed harder that I have ever prayed before.
It was then that the tears finally came.
I’m not sure why I hadn’t cried before that moment, on my knees in that little room. My husband came in behind me and closed the door. He put his hand on my shoulder and we both cried. Tears of worry. Tears of fear. Tears of pain. Tears of incomprehension, desperation, and helplessness. Hot, stinging tears filling up my eyes and spilling down my cheeks.
Pulling ourselves together, we walked back into the main waiting room, not wanting to miss any updates coming from surgery. We each texted more family members, letting them know what happened and to please pray for Robbie.
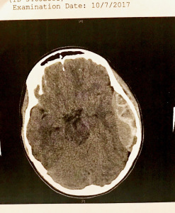
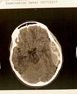
I can’t tell you how long we waited. It felt like an eternity plus an eon, with a measure of infinity tacked on to the end. The neuro nurse finally came in to tell us that surgery was going well. Robbie’s vitals were holding up and the draining was taking place. He told us it was an epidural hematoma and a skull fracture, and described the surgical procedure.
He explained how they cut out a circular section of my son’s skull (he called it a “puck”) to remove the blood that putting pressure on his brain, causing it to shut down. He told us that the craniotomy was going well and hoped they would be finished soon. Frantic for information about HIM, about Robbie, I asked this angel, who would return to the OR and my son’s open skull, if that meant he would be okay. The nurse responded that we’d know how he fared once he woke up.
He didn’t tell us when that would be.
The next visit to the OR waiting room was the nurse telling us that they were closing up and surgery was completed. He told us that two surgeons were working on him: Dr. Baskin, the adult neurosurgeon who started the procedure, and Dr. Tomycz, the pediatric neurosurgeon who was paged from Morristown. My brief panic was calmed when he explained it was just to transfer Robbie’s care to the right doctor for follow-up. Two surgeons, two more angels who saved my son’s life, weren’t necessary for any reason other than precaution.
We were directed to wait upstairs outside the ICU for him to be wheeled up.
The ICU waiting room was overflowing with people. My husband and I couldn’t take the noise, the heat and the congestion in the room, so we stood outside of the elevators, waiting for him to be brought up. While pacing the hallway, I saw a door marked “Chapel” and went inside.
Once more, I knelt in prayer for my son’s life, for his quality of life. I was relieved that he made it through surgery and that he was no longer in danger. But I wondered what version of Robbie we would get back. Would he still be the same bright, clever kid who doesn’t talk a whole lot, but has a great dry, witty sense of humor when he does? Would he have the same shy smile when he discovers that you’re watching him? Would he retain his ability to move, to walk, to speak? Would he have all of his memories? Would he remember us? Would he know how much we love him? Will his life be filled with hurdles and obstacles and hardship?
“Lord, please give us back our Robbie. Our WHOLE Robbie. Please let him be okay.”
I stood up and rejoined my husband in the hallway. We took in the art hanging in that hallway while we waited. Finally, we were invited into the ICU to be with Robbie.
He was still intubated with the ventilator breathing for him. The rhythmic whir of machines, IV tubes and electrical monitoring leads were filling my senses and blocking a clear route for me to find his hand to hold. I reached out and realized that they had restraining straps around his wrists, holding his hands to the side of the gurney.
“Were these to keep him immobile during surgery?” I asked a nurse standing nearby, marking down information on his chart. Another on the angel team.
“No. He started to come out of sedation too soon and tried to pull out his breathing tube on the way up, so we had to restrain him.”
I looked at my son, at 13, so lanky that he looked sickly on the gurney. His height taking up most of the length, but having no girth to fill the width of the bed. No color in his cheeks and no movement in his body made him look so lifeless, so strange, so foreign to me.
We were told we were waiting for an ambulance to come get him to take him from Overlook to Morristown to the Goryeb Children’s Hospital, where they have a Pediatric Intensive Care Unit, better equipped to handle him and our family.
A team of three men and a woman came up in their blue EMS jackets to move Robbie to the ambulance. Ron and I stood out of the way as they lifted Robbie from the hospital bed to the mobile gurney.
I had almost forgotten about what the nurse said about Robbie’s wrist restraints until he suddenly SAT UP on the gurney, arms flailing, thrashing and pushing grown men away from the bed as he tried to fight all of the equipment. Acting in a blur, a team of nurses, EMS techs, doctors and other staff converged on Robbie, increasing his sedation and using physical FORCE to push him back in his bed and restrain his arms again.
“Your son is STRONG,” said one of the EMS guys, a young twenty-something angel, taller than I am and in excellent physical shape. He saw how shaken we were from watching that episode and assured us that it was a good sign that Robbie that would be okay.
They boarded Robbie into the ambulance and allowed me to ride shotgun, while my husband drove up behind us in one of our cars so we would have a way home. Throughout the ride, the techs relayed information to me about Robbie’s care, letting me know that they were carefully watching his heart rate. He needed the sedation to keep him from thrashing and fighting the breathing tube, but too much sedation would slow his heart too much. Too little and he would wake up, possibly jarring his skull. The whole ride was a tenuous back and forth of heart rate versus sedation.
Some time later, we were settled in a room in the PICU and met Jessica, the wonderful angel nurse who would journey with us through the rest of this awful night.
Jessica explained that we would know how Robbie fared as soon as he woke up, but that it might be a while before that happened. First, he would need to stabilize enough to come off of sedation. Then we would need to keep him calm enough to keep the breathing tube in until he could breathe on his own. Then, maybe, he’d be able to speak and we would know more about the state of his brain.
The doctor came in and introduced himself to us, further explaining the process, and gave permission to take him off sedation. After seeing him react so violently in the ICU at Overlook, we anticipated a quick waking once sedation wore off. Like most parenthood experiences, though, Robbie decided to give us the opposite of what we expected and took his sweet time waking up.
He had quick bouts of wakefulness, where he would start and thrash, and we’d have to jump to grab his arms to keep him from tearing out his ventilator. Then, we’d look into his eyes and explain that he had a tube in his throat to help him breathe and that it needed to stay there, that he had had a bad accident and hurt his head. As soon as any hint of recognition or understanding passed through his eyes, he’d close them again and fall back asleep.
This process of violent waking and a rush to restrain and explain repeated on and off for about two more hours.
At some point in the dark hours between midnight and morning, Robbie finally came fully out of sedation and returned to wakefulness long enough for us to communicate what had happened. He was able to nod his understanding and I saw brief glimpses through his eyes that our boy was still there.
Jessica, our wonderful God-send of a PICU nurse, helped explain that Robbie’s breathing rate had to increase to a certain number on the ventilator monitor before the doctor would agree to remove his breathing tube.
Robbie continued to cycle in and out of sleep for a few more rounds after that. Each time he woke, we reminded him that breathing around the tube was his goal. We knew he hated it, so we used that to get him to focus on breathing. We could tell he was just so tired from everything, but he also wanted to get rid of the tube. At least he no longer fought it each time he woke up. We let him touch it, to fully understand what it was, and showed him a picture on our phones so he could see it.
Finally, Robbie reached the magic number to signal that he could breathe strongly enough on his own to take him off the ventilator. The doctor and nurse worked to extubate him and rearrange the remaining leads, wires, tubes and ports still attached to him. They added an external source of oxygen through a nose tube to assist his breathing until he regained strength.
All the while, Ron and I talked him through it all. He was scared, and I know the extubation was painful. He sucked on some ice chips and took his first sip through a straw. Even those tiny movements were blessings. The ability to swallow, blink and breathe were all good signs.
We waited with baited breath to see if all of Robbie was returning to us. He croaked out his first few words. “My hands…”
I asked the nurse if we could remove the restraints now that the breathing tube was out.
The instant Robbie’s right hand was out of the restraint, he brought it up toward his face. Ron caught it in his hand, stopping him.
“Robbie, that’s an oxygen tube in your nose. It has to stay there. If you fight it, they’ll need to put you back on the ventilator with the breathing tube down your throat.”
“No…my eye…” he rasped. So Ron released his hand.
Robbie moved his right arm and brought his hand toward his face. Then he very precisely rubbed a tiny bit of sleep from the inner corner of his right eye.
“Sleep in my eye,” he replied, and looked at us through confused, swollen, tired eyes like we were insane for being so over-the-moon joyful at this motion.
“Great sign of motor skills,” nurse Jessica commented and tears of joy sprung to my eyes.
After letting him regain his voice and sip a bit more water for a few minutes, we recapped all that had been through.

“So how do you feel, Robbie?” I asked him about an hour after he came off the ventilator.
“My head…hurts,” he replied.
Not long after that, we recorded a thirty-second video to serve as a PSA for all kids who ride anything without helmets. My poor kid was still in a lot of pain, and it likely was not the nicest mom move I’ve ever made. But at that point, I was transitioning from the worry and fear, through the relief and back into disbelief that this had all happened and the worst for us, was luckily over.
The aftershocks of the ordeal would continue to sneak up on Ron and me for months after it all was over. And Robbie had to go through weeks of recovery, concussion treatment, physical therapy and healing. But we had our boy back. He was whole, and he was healthy.

I shudder to think about how close we came to the unthinkable as parents that day. And there are times when it still sneaks up on me without warning. The chill creeps over the back of my hands and travels up my arms to my spine, making me shudder with the memory. My heart rate speeds up and my face will flush. I compare it to that feeling you get when speeding and you pass a cop car, wondering if you’ve been caught.
Once the physical reaction passes, I’m left with the terrible mixture of relief, grief and guilt. My physiology is reliving the worst moments, but once those pass, I am haunted by thoughts of all the parents who weren’t as lucky as we were.
My “What Ifs” consist of: “What if our hospital wasn’t only 10 mins away?” “What if we had taken him home to sleep instead of to the hospital?” “What if the neurosurgeon hadn’t been there in time to operate?” “What if surgery hadn’t been successful?”
“What if?” “What if?” “What if?”
There are parents out there, though, who have a different series of questions that still haunt them. Their what ifs are the opposite from ours. “What if our hospital was closer?” “What if we had gotten to him sooner?” “What if our son/daughter had survived?”
“What if?” “What if?” “What if?”
I am helpless to answer any of these and feel paralyzed for the parents I know are out there with a much more horrific ending to their story. For them, I will continue to pray for comfort. For me, thankfully, I only have prayers of thanks.

An Exercise in Empathy for Social Media Use
I worry about the world we are handing over to our children. While I am constantly amazed at the level of technological savvy our kids possess, I am also very grateful that I did not grow up in the age of social media.
I see the constant stream of opinion being shared, unfettered, across platforms and it makes me question the value of these platforms with regard to humanity. On the surface, they are wonderful bridges that can connect us more than we ever thought possible. Each social media platform offers the freedom to share all opinions without censorship. This freedom to share brings wonderful potential to previously unheard groups of people, which is an amazing feat.
Unfortunately, it also means that nothing is held back. Nothing is censored. Nothing is safely out of range of the hearer or reader. And, unlike spoken words, once hurtful insults or barbs are put in black and white, they retain their sting far longer than passionate discourse spoken in the same room.
Humans have been arguing and disagreeing since the dawn of time. But before the age of the internet, email and social media, the ability to share your thoughts publicly in writing was rare. When we had arguments, it typically meant that we were in the same room with the person with whom we disagreed. Simply being physically present meant that there was likely some previous level of trust or shared experience that laid a foundation of relationship before an argument.
Now, behind the shield of an electronic screen, we fling our verbal barbs without building that foundation of trust first. Our discord is no longer resting on anything solid, and our negativity is the only part of ourselves we are choosing to share online.
Most of the people I encounter in person and in social media happen to be parents. It’s where I am in my life that brings me into these circles. I know that just about every single parent I encounter shares the hope that we are teaching our children first and foremost to be kind. Yet, I think we as parents are doing a poor job of modeling HOW to be kind in our own behaviors on social media.
It is my hope that, by taking a few steps back and re-teaching ourselves how to practice empathetic behaviors online, that it might remind us of the power of our written words. And hopefully, it will help us to choose which words to share publicly and which to refrain from sharing in black and white.
We have all heard the adage, “Walk a mile in another man’s shoes.” That is basis of empathy. Empathy is the ability to be able to understand how someone else feels. So this is an exercise in three parts to help us remember how to practice empathy in the age of social media. Think of it as first putting on socks, then shoes, then going for that long walk as the person with whom you disagree.
Exercise in Empathy #1 — Basic Observations
I refer to this as the toddler level of empathy because it reminds me of when I used to force my children to make up after a disagreement. They each did it begrudgingly, only because they had to, in order to end their punishment. As adults, we’re not much different. Empathy is a skill that needs to be practiced before it can become habit. So we start small. Slip on the socks of the person you target. Observe and comment only on decisions, actions or behaviors.
Read through your recent online posts. Whether these are original posts or something in a comment string, read what you wrote about a recent decision or event that made you unhappy enough that you just had to post about it. It’s easiest to start small, so find something small. Maybe it’s a recent decision a superintendent made to call a snow day or not. Perhaps it’s a teacher who handled something unsatisfactorily with your child. Maybe you posted about an annoying person you see on the train every day.
Choose one of your recent negative posts or comments and, publicly write three positive statements about decisions, actions or behaviors that person or group of people has done. If you find yourself complaining about the management of a store you frequent, write three things you think the management does well. If your gripe is with a school district, publicly share three things you are pleased with about the district.
This is the most basic level of empathy, looking at another’s actions or behaviors, and recognizing that not everything is bad. Do not allow yourself to post another negative comment until you are capable of recognizing and publicly sharing these three positive observations.
Exercise in Empathy #2 — Imagine Others’ Feelings
This level is much harder to do. I think of this as the adolescent phase of learning empathy. This is where I see most of our teenagers struggling because they tend to feel so much, so strongly, that it can be hard to see clearly past their own emotions. Too often in social media discourse, we all let the adrenaline of an online disagreement feed our emotional response with negativity. Perhaps this act of trying on another’s shoes can help us curb that knee-jerk reaction.
When we have had negative experiences with a person or group of people, we tend to paint them with a “THEM” brush and draw a mental barrier between the US and THEM sides. Because of our past disagreements, we see every action or decision made as something else to add as fodder to our vision of THEM. We fan the flames of disagreement online by sharing each and every aspect of our negative opinion. It’s human nature to try to justify our opinions as right, but often we are simply coloring every act as OTHER because our only experience with that person or group has been negative.
Look back at your social media feed and find your own pattern of THEM commentary. If you see that you have shared your negative views of the same person or group multiple times, that is your pattern. This time, reread the strings of negative commentary AS IF YOU WERE THE TARGET OF THE DISCOURSE.
Read the comments and force yourself to FEEL how those comments affect you. Insults hurt. When a group of people get together on a negative comment string or chat tangent, the negativity comes through as barbs that not only hurt, but can cause lasting scars. For each of your negative comments, about a target with whom you have noticed a pattern, publicly share three personality traits, talents or accomplishments that you admire about that person or group.
This is not always easy. If possible, admit to yourself that you wish you were more like your target in three meaningful ways. We all have room to grow and we each are riddled with imperfections. While no one wants to admit that our personal THEM is better than we are in any facet, this exercise forces us to truly open our minds and hearts to try to fully see someone else in a more positive light. We still may disagree with the majority of the things they do, and we still may inherently dislike someone. However, by identifying larger admirable qualities in our “other,” we see them as a fellow human or group of humans, rather than just some separate entity. Hopefully, by practicing this exercise, it will help us to soften our social media commentary.
Exercise in Empathy #3 — Engage in Person and Discover the Why
This is where we all still struggle. Some find it easier than others to do this on a daily basis. If we all could practice at this level of empathy every day, it would be an amazing thing. We all have good and bad days, but whether in person or across social media, if we can act at this level of empathy, we can start seeing each other as humans rather than as “others.”
Armchair quarterbacking will never go away. People like to observe others and claim that they could have done it better. Truthfully, though, hindsight is always clearer and each leader, coach, or person in authority brings their own unique history, personality and perspective to each situation.
If we can look at our social media selves honestly, perhaps we might recognize our own patterns of oversharing. If every post or comment is a negative swipe at the same person or group of people, maybe it’s time to engage with that person or group in some productive manner in an effort to understand why they make the decisions they do.
If you are frustrated with your local school district, volunteer through the PTA to help run events. Do more than just show up to help at certain events, but really delve in and get involved. Chair committees, attend meetings regularly, and engage in person-to-person conversations whenever possible. If schedules or geography limit personal involvement, you can still take that walk in their shoes and constructively think through why they make the choices and decisions they do.
Imagine all sides of a situation. Recognize that you may not have all of the information, and put yourself through the thought-process of how this person, this group, this “other” comes to their conclusions. Who makes up the varying groups to whom they must answer? Offer the benefit of the doubt whenever possible and keep in mind that we are all imperfect humans.
——————
Empathy is a skill. It is taught in business management and teaching schools as a tool to help deliver constructive criticism. When all commentary is negative, listeners tune out or lash out. However, when more positives are delivered than negatives, those on the receiving end are more likely to hear and accept suggestions for change. Additionally, those on the giving end tend to focus only on the most important aspects that need to be addressed, letting more minor things slide.
By actively practicing these exercises in empathy on social media, we can hopefully model for the next generation how to be kinder and more tolerant of differing viewpoints. Sharing every opinion all the time is not constructive, and can be emotionally damaging. But practicing empathy and understanding can help temper the social media minefields, encouraging more thoughtful discourse and healthier interactions.
Community Action vs. Empty Gestures

To stand or kneel, to post or comment… these are not the issues that should be dominating our lives. Instead, our biggest questions should be posed to ourselves. How can I help? What can I DO to make it better?
Protests have their place to initiate change, but after that initiation, they become trite, bandwagon gimmicks. While I personally dislike the man who began kneeling during my beloved national anthem, sullying a sacred anthem, he started something worthwhile. A discussion worth having.
Now, a year later, his quiet action has become nothing more than an empty gesture. It’s a non-action performed by those who waited until it became comfortable, popular and easy. They want us to discuss THEM, so they stay relevant. But they’re detracting from the initial message by further dividing the giant social chasm that exists.
Why we, as an American people, put more worth in the bandwagon voices of multi-millionaire pro athletes and the Hollywood elite than in the words and actions of our fellow community members is beyond me.
These performers have the American stage for entertainment purposes. They have the mic, so they use it to spout off to stay in the headlines. However, we who do not live in gated mansions don’t have such a mic. Social media isn’t much of a megaphone, either, when we simply drown each other out because no one is truly listening.
Therefore, we need to roll up our sleeves to enact the change we desire. We need to be listening, volunteering and acting alongside the members of our individual communities. Instead of going to Facebook to seek out a post that offends, so we can comment and feel important, we must leave our houses and insert ourselves into our community to DO something important.
We need to volunteer to work with kids in our towns, so we can influence them to work hard and treat others respectfully. We need to give more of our time and our sweat and elbow grease than we give of empty words, gestures, and even money.
Because it is there, working side by side with each other making our community a better place to live and work, that real change happens. Through teaching, building, coaching, cleaning, gardening and leading, we build our world into a more beautiful, beneficial experience for everyone. Instead of focusing on all of the ways we disagree, being physically involved, shoulder to shoulder and face to face, we start to see our shared visions more clearly.
We are the voices and bodies to watch. Not the entertainers who are overpaid for talents. Remember, they work for us. To entertain us, not to drive a wedge between us. We have the power to change how we respond. To react less to their empty gestures that don’t have a direct impact on our lives, and respond more to the people we know and care about.
I’d love to hear about all of the big and small ways individuals are volunteering and making an impact. Tell me what you have done and what you are doing that goes beyond your computer screen or your smart phone. Count your impact in the number of individuals who recognize your face from in-person hands-on work instead of the number of likes from strangers who clicked an icon.
When I see you out there, working to improve our communities and influence the next generation, that’s when I’ll take notice. And if you’re down on your knee, I’ll offer you a hand so we can rise and move forward, side by side, together.
Watch Me — another Scouting Story
My middle child, my spirited, stubborn, has-to-be-different kid, just graduated from Cub Scouts and crossed over into Boy Scouts. Last night, along with fourteen other 5th grade boys, this kid walked across a 5-foot wooden bridge and went from the mischievous imp he was when he started out as a Tiger, and came out a young man, a Boy Scout, ready for whatever adventures lay ahead.
As a den leader for my son for the past five years, I’ve been lucky enough to witness these boys at their best. I’ve watched them literally climb to new heights as they tackle the fears of climbing walls; I’ve seen them perform on local television, laughing in the face of stage fright. I’ve followed along as they hiked one more mile on already-tired legs, cringed as they learned how to start fires and fire BB guns, and held my breath as they jumped off rock cliffs into a fresh water spring.
Our job as den leaders was to be there to guide them and keep them safe, so we tried to be as aware as possible with so many young boys who can’t seem to sit still long enough to listen to directions. But sometimes we missed things. We had to look away to help tie a shoe, measure a high jump, chop cooking ingredients or point out wildlife. We blinked once in a while and had to recount heads, yell at the top of our lungs and grumble as we cleaned up many, many, MANY messes.
But the coolest part about this group of kids was that they didn’t let us miss a thing.
“Watch me!” they used to shout when they were younger.
“Look at THIS!” they beckoned with each new discovery.
Even when bogged down with scheduling, organizing, and trying to corral this herd of unbroken mustangs, their exclamations of joy at each new achievement meant we didn’t miss a thing.
As they got older, and the challenges became tougher, we wondered how they would fare. But in typical boy fashion, they pushed each other much farther than we could push them as leaders.
Some of the encouragement came in the, “You can do it!” form. Other times, the best outcomes were the result of a, “Betcha can’t….” challenge. But the response to each of those gauntlets thrown by their peers, always came in familiar form.
“Oh yeah? WATCH me!!”
Many times, success followed that phrase. Other times, they failed. But I can’t think of a single time with this group of boys that one failure was where it ended. They took their missteps and tried again. And made some adjustments and tried again.
It is that “Watch Me!” spirit that I’m going to miss now that they’re moving on.
Don’t blink with this bunch, future Troop leaders. They are going to be a group worth watching.

If you liked this, also check out…
Year-Round Sports Are Hurting Our Kids
Remember the days of being a kid in the 80’s? When someone asked what sports you were into, you’d respond with, “Football in the fall, Basketball in the winter, and Baseball in the spring.” Or “Cheerleading in the fall, Gymnastics in the winter, and Lacrosse in the spring.”
Those were the formative years of our childhood. We got to try different activities every season, every year. Some were favorites and we looked forward to that season each year. Some were great to try once with no pressure of tough choices or limitations. If you didn’t like it, it was just for a season and you’d try something new that season the next year.
I loved playing sports for fun as a kid. I played little league (yes, girls were on the same team as boys!) on the worst team in our town. We lost every single game. I spent my time in right field picking dandelions and turning cartwheels. But I loved getting my turn at bat and running the bases. It was fun. I only did it the one year, but I enjoyed it.
It wasn’t until high school that we typically chose what “our sports” were going to be. It helped us learn flexibility and allowed us to experience a multitude of different interests in our elementary school years. It also helped us to use different muscle groups in our bodies, and hone different skills and strategies in our minds.
Now, as a parent, I see this trend toward forcing kids to play the same sport all year round. We’re asking them to specialize in one sport, and if they haven’t decided by the ripe old age of eight years old, too bad. Apparently, age eight is now too old to be a beginner in any sport.
I have seen this happen three different times, for three different sports for each of my three kids. You’d think I would’ve learned my lesson and “started my kids younger” on those teams, right? Nope. Each of my kids played different sports in first and second grade and wanted to try something new in third grade. But so many kids had already had SO MUCH experience, that we were told that my 8-year-old beginner would have to play in the beginner clinic or younger classes with the 5-7 year olds.
ARE YOU KIDDING ME??? Since when did EIGHT become too old to be a beginner in a sport? When did we decide that our kids could no longer change their minds and try something new? When did we stop encouraging our kids to be adventurous?
When I have asked these questions, I usually get responses like, “We wanted to offer an option to the kids who really LOVE this sport.” Or “My son/daughter doesn’t like (insert fall sport here), so we wanted to give them an opportunity to play (insert spring sport) again.”
I get that most of these year-round leagues first came about with good intentions. However, I feel like we’ve missed something important. Kids can still play their favorite sports with friends in pick-up games year round. Why do we need to create entire leagues for off-season sports? The impact is detrimental to the on-season sports teams, not to mention hurting our kids.
Instead of encouraging our kids to try new things, we have created entire teams just for the ones who refuse to try something different. There have been studies proving that specializing in one sport all year is actually harmful to developing bodies. Plus, many kids end up feeling burnt-out in what used to be their favorite sport because of all of the added pressures that come with commitments and competition for formal leagues. Yes, burn-out by the age of 10.
I see too many teams suffering the impacts of these year-round leagues. We have a youth football team in town who can’t find enough players to field a team. Instead of 18 boys, they may have to tell the 14 who registered that they can’t play. Why? Because many of the boys their age are playing fall baseball instead. So coaches and league leaders are struggling to find solutions.
A 3rd grade cheer squad might have a portion of the girls quit because the fall softball team is holding practices on the same days and times as cheer practice. Spring baseball has lost half of its players to spring soccer teams. As a result, coaches are left on game day with half of a roster or a crumbling stunt pyramid because the kids playing year-round sports don’t show up.
Now kids are forced to choose. Either play our sport year-round, or you’ll lose your place on the competitive travel team. We are forcing 8, 9, and 10-year-old kids to choose only one sport or else suffer the consequences. These pressures are not coming from the kids, but have been forced on them by the adults driving the rules of the year-round leagues.
I get that most, if not all, of these leagues are run by well-meaning parent volunteers. I have volunteered and coached myself. I know it is a thankless job and it feels like everyone is a critic. We feel that if our league isn’t pushing the year-round participation that our teams might suffer. But we as adults owe it to our kids to stand up to the pressure from other towns, other leagues and other sports. It is time to say enough is enough.
We need to show our kids by example how to stand up to the pressure to follow along. We need to heed the advice of the sports scientists, the behavioral therapists, the child psychologists and the pediatricians instead of blindly following the trend. We need to STOP PUSHING YEAR-ROUND SPORTS and instead, encourage our kids to try new things, experience being a beginner again and go play pick-up games with friends for fun.

My own three knuckleheads in their fall sports uniforms.
The Rules of Calling Shotgun
Over the summer, my middle child reached the size requirements for riding in the front seat of the car, which means I now have two eligible passenger seat riders. While I love the front seat company and the new opportunities for conversation with my older kids, I cringe at the battles that erupt as they vie for this coveted position.
In one of those all-too-frequent, unthinking Mom brain moments, I told them,
“I’m not refereeing this. You have to call shotgun and figure it out yourselves.”
I did not consider the fact that I may be starting a years-long game of one-upmanship, or sparking sneaky new ways to bend rules in one’s favor. I should have predicted these ripple effects since I’ve known them since they were fetuses, but I didn’t. Therefore, I have had to re-visit the simple “You have to call shotgun,” rule and outline the following list of specific Shotgun-related regulations.
THE RULES OF CALLING SHOTGUN
- You must be outside in order to call Shotgun. You cannot call Shotgun from behind the glass wall of a store while we are checking out. Likewise, you cannot open your bedroom window and stick your head out the window, claiming that your head is outside. Your whole body must be outside to call Shotgun.
- You must be in view of the car in order to call Shotgun. You may not race out of the store or amusement park and call Shotgun the instant your foot hits the parking lot. If you cannot see the car, OUR car, you may not call Shotgun.
- You must be ready to depart in order to call Shotgun. In the mornings, this means being fully dressed (no, pajamas do not count as clothes. If you wore them to sleep in, you may not call Shotgun). You must have your teeth brushed, bed made, backpack packed, and be wearing shoes ON. YOUR. FEET. in order to call Shotgun.
- If you are called back inside because you forgot to do any of the above, or if you forgot something else, ANYTHING ELSE, someone else who is 100% ready may call Shotgun. Shotgun is awarded to those who are ready and prepared, not to those who rush.
- You may call Shotgun no more than 15 minutes prior to scheduled departure. I love that you got ready super early, but no, you may not call Shotgun at 5:00AM, then go back to sleep in your school clothes. Likewise, you cannot call Shotgun the night before.
- You may not phone-in (or text) your Shotgun call. I don’t care if you are outside, ready to go, and can see our car in the driveway from your friend’s house. Shotgun must be called in person.
- Shotgun rules apply to ALL. Yes, your friends may call Shotgun even though it is our car. These Shotgun rules apply to anyone who wishes to call the front seat in our car. These rules go with our vehicle. If other rules are enforced in other cars, you must learn them.
- Shotgun may be awarded by the driver for special circumstances. This is especially likely if the honoree is in dress clothes for a special occasion, or if a large project or food container is being carried for a special event. No, Shotgun will not automatically be awarded to you in your soccer, football, cheerleading, scouts or other uniform for activities that occur on a regular basis.
- Shotgun may be repealed by the driver for bad behavior. Mom, Dad, or other adult drivers may rescind the offer of Shotgun for any behavior they deem unworthy of the privilege. This includes, but is not limited to, bad attitude, back-talk, hitting, lying, laziness, or general disregard for the rules of the house and family.
- Shotgun riders and drivers share the control of the radio. You may choose your music and volume level when riding Shotgun, but the driver may overrule you at any time.
- Shotgun riders must be responsible for closing their window and door every time. Unlike the automatic, rear sliding doors in the minivan, the front doors still require manual closing. Forgetting to close the door in the school carpool lane may result in temporary suspension of Shotgun privileges.
- These rules of Shotgun may be amended at any time.
Safe driving, everyone!
Never Forget
Still ringing true four years later. Wanted to share again.
I cried a lot yesterday. The tenth anniversary of the September 11th attacks brought back all of the memories and emotions of that day. Each time Taps played, I felt each note in my very core. It’s amazing how music has that power to physically jar you more so than just words or images. Along with the rest of the country, I spent yesterday remembering. Along with the rest of my family, however, I remembered even more.
My late grandfather, Robert H. Brumell (for whom my son is named), was born on September 11th. He passed away only five years ago, so his absence on his birthday brings memories of him rushing back for our family. Mixing the emotions of personal loss with national grief made yesterday a long day.
My grandfather was a World War II veteran, as just about every man of his generation was. It’s amazing how…
View original post 399 more words
Just Fine with Turning Forty
Today is my fortieth birthday. I’ve heard lots of jokes about old age this month. My nine-year-old said he hopes someday to live as long as me. My ten-year-old was floored when he realized that he was the only kid who knew me in my twenties (I was 29 when he was born), which means that he’ll have known me for THREE DECADES. Whoa, mind blown. My husband kissed me last night and said, “Man. That’s the last time I’ll kiss a 30-something!”
But my six-year-old daughter’s remark was the one that hit home. When I joked over dinner that I planned to just skip Wednesday this week so I’ll never turn 40, she got sincerely upset. “But Mommy, you HAVE to have your birthday! Birthdays are FUN!!” And she’s right. Birthdays ARE fun.
Birthdays are a celebration of life, of identity. I have lived for four decades. I’m proud of the experiences I’ve lived and the lessons they’ve taught me. No more moping about getting older. It’s time to embrace this milestone. As I look back on the years behind me, I’m honestly psyched for what lies ahead.
In that first decade, the baby years, it’s all about learning the rules of life. How to walk, talk, eat, dress, learn, and interact with the world. But it’s a safe place, surrounded by family and caregivers.
In our second decade, the teen years, it’s all about testing the rules we learned during the first ten years. Our friendships mean everything to us. Sometimes they break our hearts and hurt our feelings, but those first ties outside of the bloodline help us decide who we want to be. We push boundaries, gaining independence and stretching those apron strings until they snap so we can take off on our own.
In our third decade, our twenties, it’s about paving our path. We are fearless. We are strong. We are SO READY for this life. Friends are in abundance. Romance blooms everywhere. Our bodies are in prime, gorgeous condition, and our minds carry enough experience and knowledge to instill confidence at every turn. Bring it on!
Then our fourth decade, our thirties, hits and smacks us in the face, teaching us that once again, we know nothing. Marriage and parenthood turn the world upside-down. It goes from being to all about me, to being all about someone else, everyone else. In my thirties I realized that, at least for a few years, I had to come last. That lesson is a necessary one for maturity and growth, but it shook me to my core. I struggled with both identity issues and postpartum depression. I was no longer working, so what WAS I? How did I define myself? Would the title of “Mom” be enough? It was a rough ride.
But through that struggle over myself, I was gifted with meeting my three favorite people on earth. My kids. Yet as a result of meeting these great kids, my marriage was tested in my thirties. We were both initiated into the parenthood club full force. We had to figure out our new roles as parents while still being there for each other. There were many times in the last ten years that I failed on that one. I was so busy taking care of my kids that I was no longer taking care of my husband, yet I had an unjust sense of resentment that he wasn’t taking care of me.
It was hard. We yelled and fought and ignored each other in turns. But now that our kids are all in school and needing us just a little bit less, we are able to find each other a little more. In addition, we lean on our friends more, too. We learn that friendships matter just as much or more than they did in our teens. Unfortunately, we still feel the sting of betrayal from friends, too, even in this stage of life.
Now, as I face forty, I realize that I have the power to choose which friendships to nurture and which to let go. I also know that my marriage has survived babies and is stronger for it. I love being on this team of husband and wife and am glad for the chance to reconnect.
Similarly, as I enter my fifth decade, I realize that who I am is more than what I do. I no longer seek to find a single label for myself. I’m a mom. I’m a writer. I’m a wife. I’m a daughter. I’m a sister. I’m a friend. I’m a teacher. I’m a volunteer. I am all of these things. I am loyal. I am smart. I am still beautiful, despite the extra padding. Perhaps just beautiful in a different way. Yet I am loved. So, so much.
How lucky I am to be turning forty today. Bring on the next chapter. I’m ready!






